

✨ Key benefits of dental cleaning
1. Prevents cavities
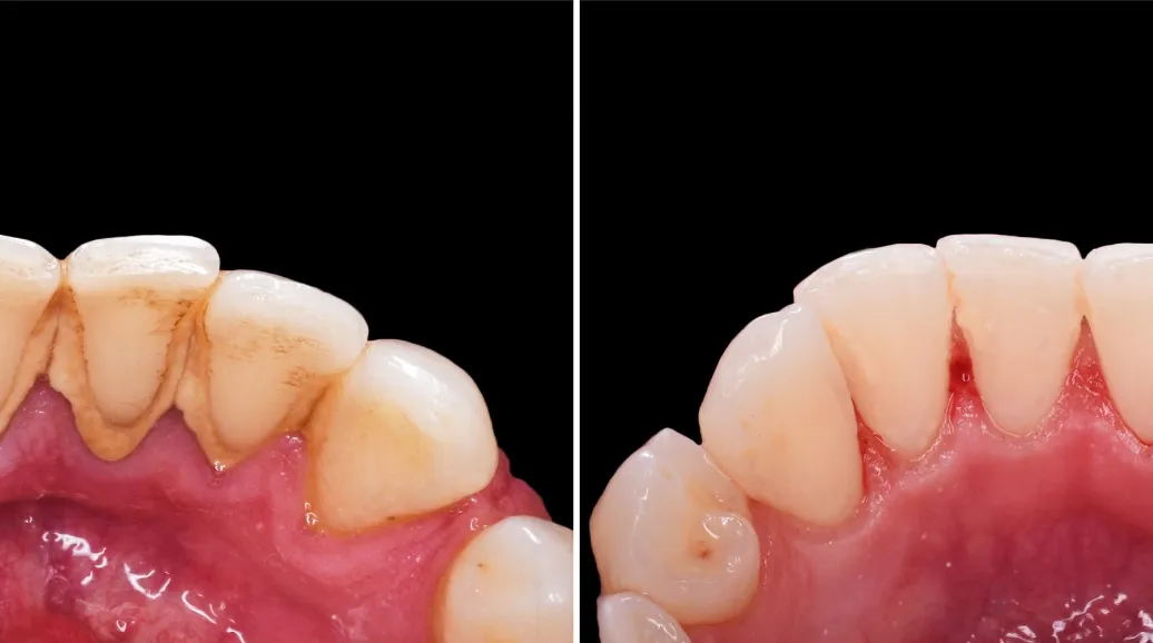
Cleaning removes plaque—a sticky film of bacteria that causes tooth decay. Less plaque = lower chance of cavities.
2. Helps prevent gum disease
If plaque turns into tartar, it can irritate your gums and lead to gingivitis or more serious gum disease. Regular cleaning keeps your gums healthy.
3. Fresher breath 😮💨
Bad breath is often caused by bacteria buildup. Cleaning removes those odor-causing bacteria.
4. Brighter, whiter teeth
It removes stains from coffee, tea, smoking, and food—making your smile look cleaner and brighter (though it’s not the same as whitening).
5. Early detection of problems
Dentists can spot early signs of issues like cavities, gum disease, or even oral cancer—before they become serious.
6. Saves money long-term 💸
Preventive care is much cheaper than treating advanced dental problems like root canals or extractions.
7. Supports overall health
Oral health is linked to general health. Gum disease has been associated with conditions like heart disease and diabetes.

At Complete Smile Dental Clinic, our mission has always been simple: to provide quality, honest, and patient-centered dental care that truly makes a difference.
With decades of combined experience in the dental field, our team of licensed professionals has helped hundreds of patients restore their oral health and regain their confidence to smile. Over the years, we have built a reputation for delivering reliable, gentle, and effective treatments that patients can trust.
What started as a passion for improving smiles has grown into a clinic known for its commitment to excellence, modern techniques, and genuine care for every patient who walks through our doors.
💬 “We don’t just treat teeth—we build lasting relationships and help our patients smile with confidence every single day.”
Today, Complete Smile Dental Clinic continues to uphold the highest standards in dental care, combining experience, technology, and compassion to give every patient the smile they deserve.

Dr. Jane Rivera
Licensed Dentist | 10+ Years Experience
With over a decade of clinical experience, Dr. Jane Rivera is a highly skilled and dedicated dental professional committed to providing exceptional patient care. She has successfully treated hundreds of patients, helping them achieve healthier, more confident smiles.
Known for her gentle approach and attention to detail, Dr. Jane Rivera ensures that every patient feels comfortable and well-informed throughout their treatment. She continuously updates her knowledge with the latest dental techniques and technologies to deliver safe, effective, and modern care.
✨ Why patients trust her:
10+ years of professional dental experience
Licensed and highly trained practitioner
Gentle, patient-centered approach
Focus on preventive and long-term oral health
Committed to delivering natural, beautiful results
💬 “My goal is not just to treat teeth, but to give every patient the confidence to smile again.”
Plaque → Tartar buildup
Bleeding gums (early gum disease)
Cavities forming silently
Bad breath getting worse
Yellow, stained teeth
Expensive treatments later
⭐ Maria S., 28
“I was really nervous at first, but the dentist explained everything clearly. The equipment felt so modern and painless. Highly recommend!”
⭐ John D., 35
“Best dental clinic I’ve ever visited. Everything was clean, high-tech, and super professional. My teeth look amazing now.”
⭐ Angela R., 41
“I noticed right away how advanced their machines were. The process was quick and comfortable. Definitely coming back.”
⭐ Kevin L., 22
“The staff were friendly and the clinic looked very high-end. You can tell they invest in the latest technology.”
⭐ Sophia M., 30
“I’ve been to many dentists, but this one stands out. Professional team, modern equipment, and great results.”
Complete Smile Dental Clinic
Your partner in achieving a healthier, brighter smile.
📍 Visit us today | 📅 Book your appointment now
📩 Message us to get started